![]() |
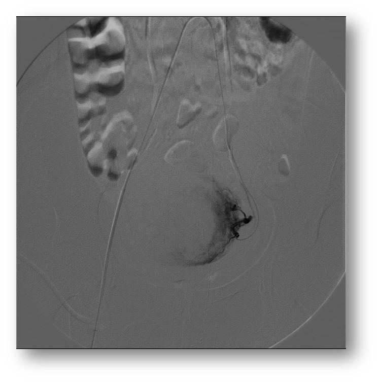
Esta imagem mostra
uma arteriografia de todos os vasos da pelve. Nela, o médico consegue
identificar as artérias que levam sangue e nutrem os miomas
|
No texto de hoje vamos falar sobre o
mioma. Sabemos que muitas endomulheres têm miomas, eu era uma dessas. Nas minha duas cirurgias foram retiradas miomas do meu útero. Por isso convidamos o doutor Denis Szejnfeld para falar sobre o tema. O texto aborda de uma
maneira simples e didática, com perguntas e respostas, as principais dúvidas
sobre miomas, como por exemplo: os sintomas, os tratamentos, dentre eles, a
embolização. O médico radiologista explica detalhadamente sobre esta técnica
minimamente invasiva que está revolucionando e a relação entre miomas e infertilidade. No final do artigo deixo um vídeo bem explicadinho para vocês. Beijo carinhoso!
Caroline Salazar
Por doutor Denis Szejnfeld, Hospital Certa
Edição: Caroline Salazar
Por doutor Denis Szejnfeld, Hospital Certa
Edição: Caroline Salazar
O que são miomas uterinos?
Miomas uterinos são nódulos benignos que acometem o útero de algumas
mulheres. Estes nódulos podem aparecer e crescer como um nódulo apenas ou como
múltiplos nódulos.
Quais são os sintomas dos miomas uterinos?
Algumas mulheres podem ter miomas e serem completamente assintomáticas. Dependendo do número, tamanho e localização dos nódulos, a paciente pode apresentar sintomas geralmente relacionados à menstruação e à fertilidade.
As pacientes, quando sintomáticas, geralmente apresentam menstruações com grande volume de sangue e/ou menstruações que duram muitos dias. Isto poderá trazer desconforto e até anemia em alguns casos.
Algumas mulheres podem ter miomas e serem completamente assintomáticas. Dependendo do número, tamanho e localização dos nódulos, a paciente pode apresentar sintomas geralmente relacionados à menstruação e à fertilidade.
As pacientes, quando sintomáticas, geralmente apresentam menstruações com grande volume de sangue e/ou menstruações que duram muitos dias. Isto poderá trazer desconforto e até anemia em alguns casos.
Os miomas podem levar à infertilidade?
Sim, dependendo do número de localização dos miomas, eles podem levar à
infertilidade. Entretanto, quando se trata de infertilidade, diversos fatores
devem ser investigados também como a função ovariana e das tubas uterinas, o
espermograma do marido, dentre outros vários fatores.
Quais são os tratamentos disponíveis para os miomas uterinos?
De uma maneira geral e resumida, podemos dividir os tratamentos dos
miomas em alguns grandes grupos a seguir:
- Tratamento
medicamentoso:
Consiste na administração de hormônios ou bloqueadores de hormônios com
o intuito de bloquear o estímulo hormonal e fazer com que os miomas parem de
crescer ou que, ainda, o sangramento intenso seja controlado.
- Colocação de
DIU:
A colocação de DIU com hormônio também tem a função de bloquear ou
reduzir a menstruação e reduzir o desconforto causado pelos miomas
- Tratamento
cirúrgico:
Existem dois tipos de tratamento cirúrgico: a retirada total do útero
que se chama histerectomia e a retirada apenas dos miomas chamada miomectomia.
Há também a embolização dos miomas uterinos que consiste em uma técnica
minimamente invasiva que interrompe o fluxo sanguíneo para os miomas e desta
maneira fazendo com eles diminuam e parem de provocar hemorragias menstruais. A
seguir, comentarmos alguns outros pontos deste tipo de tratamento.
Todos os miomas uterinos devem ser tratados?
Não. De uma maneira geral, devemos tratar apenas os miomas sintomáticos,
especialmente em mulheres que já tenham a prole constituída, ou seja, que não
querem mais ter filhos.
Não desejo mais ter filhos e tenho muitos miomas uterinos que me causam
muito sangramento. A embolização é uma boa alternativa para mim?
Sim. Esta é a melhor indicação para fazer a embolização dos miomas
uterinos. Como a embolização é um tratamento minimamente invasivo ela, nestes
casos, substitui a retirada de todo o útero (histerectomia).
Tenho miomas uterinos e ainda desejo ficar grávida. A embolização é um
bom tratamento para mim?
Depende. Se forem poucos miomas e com localização em que a retirada
cirúrgica é fácil e com baixo risco, o tratamento mais indicado talvez seja a
miomectomia -uma cirurgia onde são retirados apenas os miomas uterinos -,
preservando o útero. Entretanto, em alguns casos a paciente pode apresentar
múltiplos nódulos ou ainda nódulos em que a retirada cirúrgica seja bastante
complexa com risco de perda do útero durante a cirurgia. Nestes casos, a
embolização está indicada para tratar os miomas sem risco de perda do útero,
especialmente em pacientes que ainda tenham desejo reprodutivo.
Como é feita e embolização dos miomas uterinos?
A embolização é um procedimento minimamente invasivo que consiste em uma
punção na região da virilha seguido de inserção de um fino catéter que vai até
a região dos miomas. Através deste catéter são injetadas partículas que são
pequenas bolinhas que ocluem a irrigação de sangue para os miomas. Assim os
miomas regridem e deixam de causar sintomas.
Que tipo de anestesia é realizado?
Usualmente fazemos raquianestesia ou peridural para controle da dor e do
incômodo no pós-operatório.
Quanto tempo eu fico internada?
Geralmente a paciente permanece em observação de 12 a 24 horas após o
procedimento.
O procedimento dói?
Nos primeiros dias após a embolização é comum sentir algumas cólicas e
dor na pelve que são controladas com alguns analgésicos e antiinflamatórios
específicos.
Quantos dias devo ficar afastada do trabalho?
No dia seguinte à embolização a paciente pode andar normalmente.
Usualmente recomendamos que fique sem dirigir por um dia e sem atividade física
intensa por sete dias.
A embolização é um procedimento seguro?
Sim, a embolização é um procedimento realizado mundialmente com
excelentes resultados e baixíssimos índices de complicações. Hoje, a
embolização faz parte do ROL de procedimentos de obrigatoriedade de cobertura
da ANS (agência nacional de saúde). Confira em: http://www.ans.gov.br/a-ans/sala-de-noticias-ans/consumidor/1261-rol-de-procedimentos-2012
Mais informações no vídeo abaixo:
Sobre o doutor Denis Szejnfeld:
Radiologista Intervencionista e
Cirurgião Endovascular, o doutor Denis Szejnfeld é especializado em procedimentos
minimamente invasivos dirigidos pela radiologia. Tem graduação pela Faculdade
de Ciências Médicas da Santa Casa Casa de São Paulo, Residência Médica em
Radiologia pela Universidade Federal de São Paulo
(Unifesp), Especialização em Radiologia Intervencionista e Cirurgia
Endovascular pela Faculdade de Medicina da USP e doutorado pela Unifesp, onde
atualmente coordena o setor de Radiologia Intervencionista Vascular.
O doutor Denis Szejnfeld possui título
de especialista em Radiologia e Diagnóstico por Imagem conferido pelo Colégio
Brasileiro de Radiologia (CBR), título de especialista em Cirurgia
Endovascular e Angiologia pela Sociedade Brasileira de
Angiologia e Cirurgia Vascular (SBACV) e título de especialista em
Radiologia Intervencionista e Cirurgia Endovascular pela Sociedade Brasileira de Radiologia Intervencionista e
Cirurgia Endovascular (SoBRICE).







